티스토리 뷰
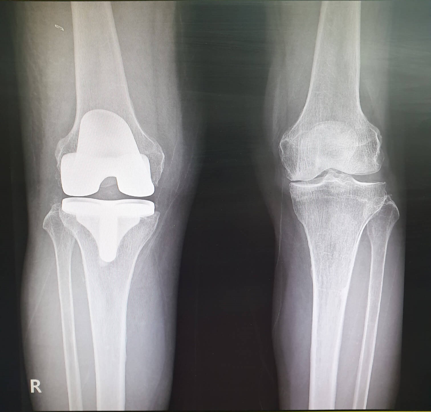
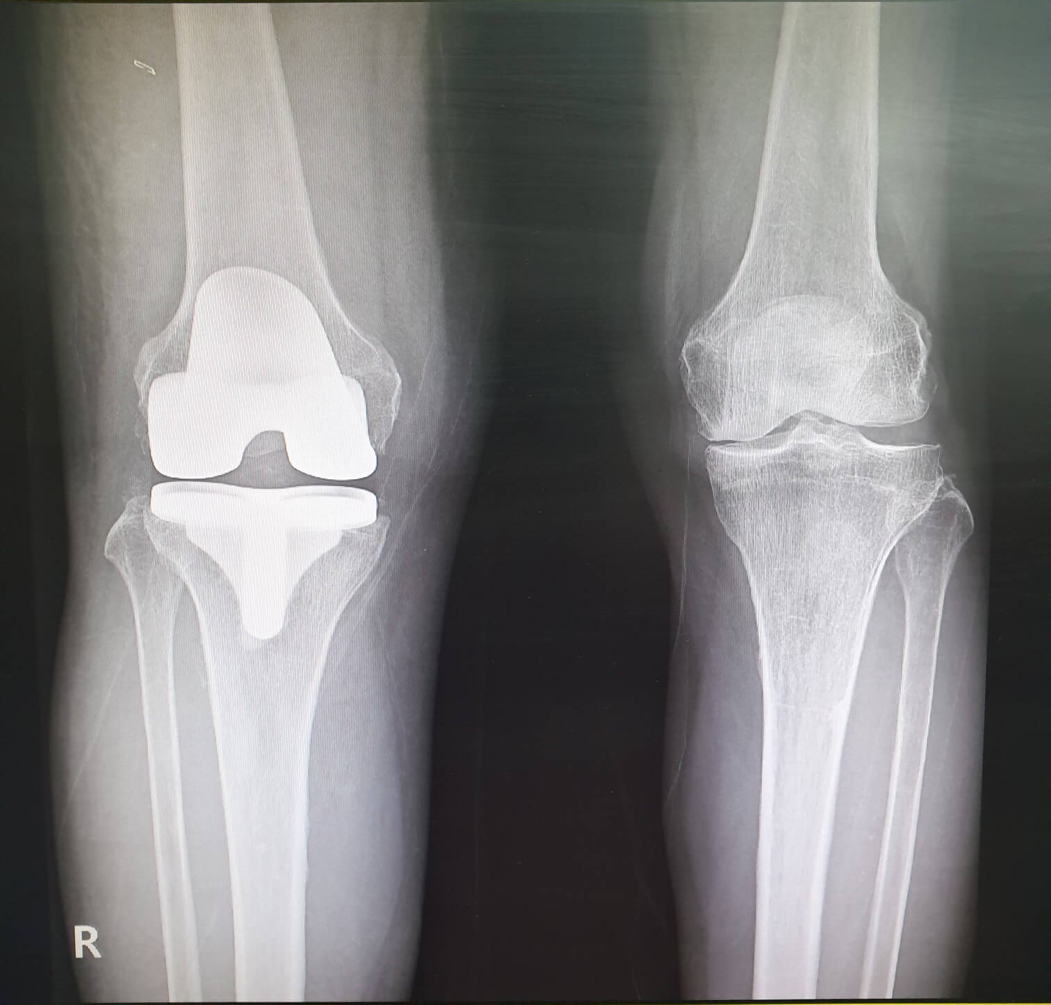
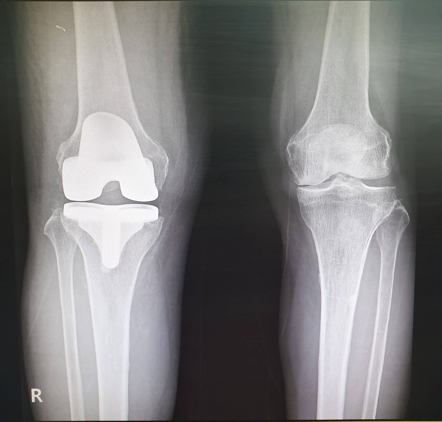
퇴행성 관절염 통증으로 일상생활이 힘들고 약물, 물리치료로 더 이상 효과가 없어 인공관절 수술이 필요한 어르신들을 위한 무릎인공관절 수술비 지원사업에 대하여 알아보도록 하겠습니다.

노인 무릎인공관절 수술비 지원사업의 목적
이 사업의 목적은 무릎관절증으로 지속적인 통증에 시달리고 있으나, 경제적 이유로 수술을 받지 못하는 노인들의 고통을 경감시켜 삶의 질을 개선시키기 위함입니다.
그리고 무릎관절수술 지원을 통한 노인 건강 보장 및 의료비 부담을 덜어주기 위해 노인의료 나눔 재단이 사업주체가 되어 운영하는 보건복지부 사업입니다.
지원대상 및 범위
지원대상자의 연령 : 신청일 기준 만 60세 이상
대상질환 : 건강보험급여 '인공관절치환술(슬관절)' 인정기준에 준하는 질환자
여기서 말하는 슬관절 인공관절치환술이 바로 무릎인공관절수술입니다.
지원 대상 : 의료급여 1종과 2종, 국민기초생활 수급자, 차상위 계층, 한부모 가족에 속한다면 지원 가능.
수술비 지원범위 : 본인 부담금에 해당하는 검사비, 진료비와 수술비로 한쪽 무릎 기준 120만 원 한도
양쪽 무릎의 경우는 240만 원까지 지원
선정 기간은 1개월 이내에 처리됩니다.
지원제외 : 간병비, 상급병실료, 선택진료비, 보호자 식대, 무릎인공관절 수술과 관련이 없는 검사비, 치료비, 입원료 등
지원금 신청 절차 및 방법
무릎인공관절수술 지원비 신청은 전국 보건소에서 연중 수시 접수받고 있습니다. 다만 예산 소진 시 조기 마감 될 수도 있습니다.
1. 수술 대상자가 수술하기 전에 시, 군, 구 보건소에 직접 지원 신청을 합니다.
다만 본인 외에 가족이나 그 밖의 관계인, 읍면동 주민센터 공무원, 대한 노인회 지회등에서 보건소에 대리 신청 가능합니다.
2. 보건소에서 지원자의 관련 서류 확인 후 재단(노인의료 나눔 재단)에 추천하고, 이후 10일 이내에 지원자에게 결과를 통보합니다.
3. 지원 대상자는 통보받은 후 3개월 이내에 수술을 받도록 합니다. 입원 시 간호사실에 지원대상자임을 알려주면 퇴원 계산 시 원무팀을 통하여 지원금 혜택에 대해 쉽게 도움 받을 수 있습니다.
< 무릎 인공관절 수술 지원사업 절차 >
무릎인공관절 수술 진단서 발급(병원) >> 전국 지역보건소에서 신청 >> 지역대상자 선정/ 통보 >> 선정자 수술 >> 재단에서 의료기관으로 수술비 지급
지원금 신청 시 유의사항
지원금 신청 시 유의사항을 반드시 읽어보고 신청하시기 바랍니다.
수술비 지원은 수술하기 전 미리 신청하고 재단의 승인을 받은 후에 수술해야 합니다. 한 측 기준으로 120만 원의 지원을 받으실 수 있습니다.
지원신청 전 수술 및 재단의 선정 통보를 받기 전에 수술하는 경우, 절대 지원을 받을 수 없습니다. 그리고 긴급복지의료지원 및 실비보험 청구 등 타 기관과의 중복지원이 불가하니 유의하시기 바랍니다.
문의전화: 1661-6595 (오전 9시부터 오후 5시까지 운영)
퇴행성 관절염은 수술치료에 대한 만족도가 90% 이상으로 아주 높습니다. 남의 도움을 받지 않고 스스로 일상생활을 할 수 있고 힘들고 고통스러운 통증에서도 벗어날 수 있기 때문입니다. 치료비 때문에 망설이고 계셨다면 무릎인공관절 수술 지원사업을 통해 도움받아 보시길 바랍니다.


