티스토리 뷰
퇴행성 관절염으로 힘들어 하다가 슬관절(무릎) 인공 관절 치환술을 하셨다면 이제 관리가 중요합니다. 잘 관리하여 이차 감염이나 합병증 없이 건강하게 15년, 20년 사용하실 수 있는 방법 알려드립니다.

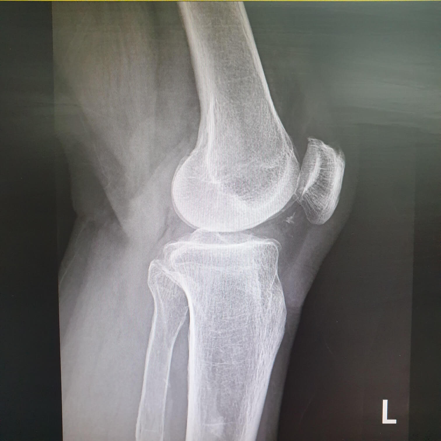
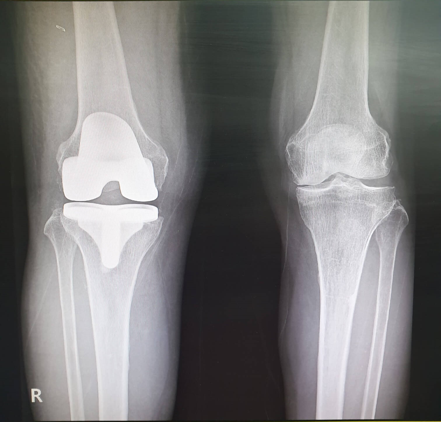
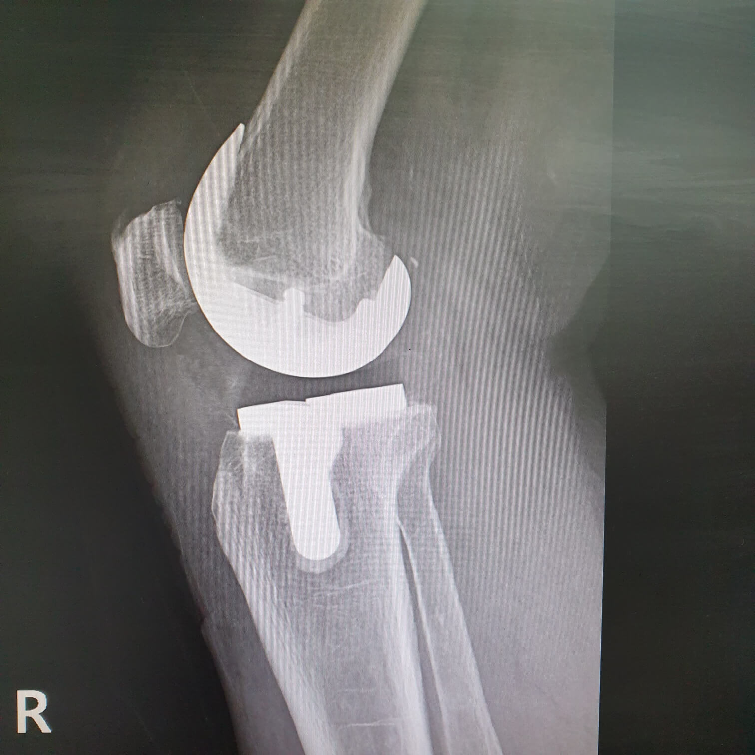
슬관절 인공 관절 치환술은?
무릎의 퇴행성 관절염이나 류마티스 관절염으로 인해 관절이 파괴 된 경우 관절 연골과 뼈를 제거하고 관절 표면을 금속 삽입물과 고밀도 플라스틱으로 교체 삽입하는 수술을 말합니다.
수술의 장점
수술을 받은 환자의 대부분의 경우(90%이상) 눈에 띄게 통증이 감소하고 일상 생활에서 자유로움을 느낍니다. 산책이나 수영, 골프, 운전, 가벼운 등산, 각종 취미 활동을 큰 통증없이 즐길 수 있게 됩니다.
수술 후 증상
무릎 수술 당시 미세한 신경의 손상 등으로 인해 상처 주위의 피부 감각이 다소 무뎌질 수 있습니다. 그리고 과도하게 무릎을 많이 구부릴 경우에는 약간 뻣뻣함을 느낄 수 있습니다.
수술 부위에 후끈후끈한 열감이나 부종, 통증 등은 재활 치료나 보행 운동을 하는 과정에서 대부분의 환자에게서 2~3개월 간은 지속되는 것이 일반적이며, 이럴 경우에는 얼음이나 찬 찜질을 해 주도록 합니다. 열감이 없는 경우는 하지 않아도 됩니다.
가끔 무릎을 구부리거나 펴는 과정에서 삽입해 놓은 금속과 플라스틱이 부딪히는 소리가 날 수도 있으며 이러한 증상들은 대개의 경우 시간이 지나면서 없어지거나 감소됩니다.
인공관절 치환술 처럼 큰 수술을 하고 난 뒤에는 식욕 감퇴가 있을 수도 있으므로 소화하기 쉬운 음식물을 드시기를 권합니다. 또한 수술 과정에서 출혈이 많았으므로 철분이 많이 든 음식이나 영양제로 철분 보충제를 복용하는 것이 상처 회복에 도움을 줍니다.
수술 후 주의 사항
운동 및 활동
수술한 무릎 관절의 적응력을 향상시키기 위해 매일 조금씩 규칙적으로 서서히 운동을 생활화하는 것이 중요합니다.
처음에는 집안에서 서서히 시작하여 바깥에서도 조금씩 활동량을 늘여 가는데, 평지나 운동장 같이 안정적인 공간에서 일상활동 하기를 권장합니다. 이런 활동은 무릎의 근력과 기능을 빠른 시간 내에 회복할 수 있게 도와 줍니다.
간단한 활동에 적응이 되었다면 앉기, 서기, 계단 오르내리기 등 일상적인 집안 활동을 시작하는데, 처음에는 10분 정도하면서 조금씩 시간을 늘려가도록 합니다. 한 번에 20분 정도씩 하루에 2~3회 정도의 운동을 하고 적응이 되었다면 한번에 30분씩 하루에 1~2회 정도로 산책을 하는 것을 권장합니다.



운동과 활동의 증가
짧은 거리를 스스로 걸을 수 있으면 활동량을 서서히 증가 시켜 보도록 합니다. 일어서서 무릎 구부리기나 실내 자전거 타기는 슬관절(무릎관절) 부위의 근육 강화에 많은 도움이 됩니다.
만약 수술 전에 수영을 하신 경우라면 수술 후 한 달 후에 다시 수영을 할 수 있으며, 새로 수영을 배우고 싶은 경우에는 과정에 다소 무리가 따르므로 3개월 정도 후에 배우기를 권장합니다.
술후 일정기간 까지는 술전에 진행되었던 퇴행성 문제와 수술 후 동반 된 통증과 부종등으로 인해 무릎 주위 근육이 약해진 상태임을 고려하여야 합니다.
목발 등 보조기구의 사용
보조기구는 실내에서는 사용하지 않아도 되지만 외부 활동이나 멀리 이동하는 경우에는 술 후 한달 정도는 목발 한개나 워커 등의 보조기구 사용이 도움이 되고, 이후에는 필요시 지팡이 사용이 도움이 됩니다.
운전은 언제부터
운전의 경우 수술 후 무릎을 제대로 굽힐 수 있고 차 안에서 편히 앉을 수 있으며 다리의 근육이 브레이크와 엑셀레이터를 충분히 조절 할 수 있을 때 가능합니다. 보통 수술 후 6~8주 정도가 지난 후 운전하기를 권합니다.
반드시 지켜야할 사항
✅ 수술 후 쪼그려 앉는 것은 금기는 아니지만 인공관절의 사용기간을 줄어들게 할 수 도 있으므로 장기간 안전하게 인공관절을 사용하기 위해서는 쪼그려 앉는것은 바람직하지 않으니 삼가하시기 바랍니다.
✅ 수술 초기에는 혼자서 앉았다 일어나는 것이 불편하고 힘들 수 있으므로 쇼파나 의자 그리고 침대를 사용하는 것이 좋습니다. 때론 주위 사람의 도움을 요청할 필요도 있습니다.
✅ 규칙적으로 가벼운 운동을 유지하여 근력을 강화시키고 인공 관절이 자연스럽게 신체에 잘 적응 할 수 있도록 합니다.
✅ 상처 회복과 부종 경감에는 영양제로 철분제대와 더불어 비타민C를 섭취하는 것이 좋습니다.
✅ 2차적인 문제가 발생하지 않도록 낙상과 상해를 예방하기 위해 특히 조심해야 합니다.
✅ 수술 부위에 핫팩이나 뜨거운 찜질 등은 화상과 염증을 일으킬 수 있으므로 금기입니다.
✅ 한의원 등에서 수술 부위에 침을 맞는 것은 감염을 일으킬 수 있으므로 주의하도록 합니다.
✅ 치아 검진을 받을 때는 반드시 인공관절 수술 한 것을 말해주어야 합니다. 사전에 항생제를 복용해야 합니다.



병원에 와야하는 경우
다음과 같은 증상이 발생하면 반드시 병원을 방문하도록 합니다.
- 넘어져서 인공관절 부위로 통증이 심할 때
- 며칠동안 고열이 지속되거나 무릎 인공관절 부위에 열감이 있으면서 벌겋게 달아오르고 극심한 통증이 있을 때
- 무릎이나 종아리, 발목이나 발에 부종이 증가할 때
이상으로 무릎인공관절 치환술 후 관리 방법에 대하여 알아보았습니다. 건강하고 세심한 관리로 무릎 건강 잘 지켜가시길 바랍니다.
< 함께 보면 좋은 글 >
퇴행성 무릎관절염 (로봇) 인공관절 수술의 장점, 비용, 재활, 입원기간
나이가 들어감에 따라 가장 많이 닳아서 아프고 사용하기 힘든 관절 중 하나인 무릎의 마지막 희망! (로봇) 인공관절 수술에 대해 알아보겠습니다. 이전에 비해 로봇을 이용한 인공관절 수술이
snowballsite.com