티스토리 뷰
간단한 국소마취를 제외한 전신, 척추 마취가 필요한 정도의 질환에서 수술을 위한 기본 검사에 대해 알아보겠습니다.

수술 전 검사의 필요성
수술을 필요로 하는 질환일 경우 환자의 상태를 파악하기 위하여 수술 전 기본 검사들을 시행합니다.
예정되어 있는 수술을 견딜 수 있는지, 마취를 잘 이겨낼 수 있는지를 술 전에 알아보기 위한 검사인데요 일반적으로 혈액검사, 소변검사, 호흡기능 검사, 심장의 기능검사 그리고 간기능, 신기능등이 있습니다. 그 외에도 환자의 감염성 질환에 대비하기 위하여 각종 검사를 시행합니다.



수술 전 혈액검사
수술 전 혈액검사는 환자의 전신 상태를 평가하기 위함입니다. 검사의 종류에는 전혈구 검사, 간기능 검사, 신장(콩팥) 기능검사 그리고 전해질 검사가 있습니다.
전혈구 검사는 헤모글로빈 수치를 통해 빈혈 여부를 확인하고 이후 수혈이 필요할 수 있음을 예측하거나 수치가 낮을 경우 미리 수혈을 통해 교정을 하기도 합니다. 그 외 백혈구나 CRP 등을 통해 염증 수치를 확인하고 혈소판 검사를 통해 지혈에 관련된 문제를 통제합니다.
간기능검사를 통해서는 해독 작용과 지혈 작용에 관여하는 간의 기능이 정상인지 평가합니다. 마취에 사용되는 약물들이 간에 영향을 많이 끼칠 수 있으므로 간 기능이 현저히 저하되어있다면 교정 후 수술이 가능합니다.
신기능 검사는 신장(콩팥)의 기능을 보는 검사로 우리 몸의 독소를 배출하는 신장의 상태를 파악합니다. 신기능이 저하되어있으면 간기능에서의 문제처럼 마취약과 이후 치료에 사용될 약물의 종류와 사용량에 각별한 주의가 필요합니다.
신기능 저하가 심하면 이 역시 교정 후 수술이 가능합니다.
전해질기능 검사는 우리몸의 나트륨과 칼륨의 전해질 균형을 보는 검사입니다. 전해질 불균형이 심하면 심장근육의 이상으로 인한 심기능 문제를 초래할 수 있으며 정신상태에도 영향을 끼칠 수 있으므로 이 역시 빠른 교정이 필요합니다.



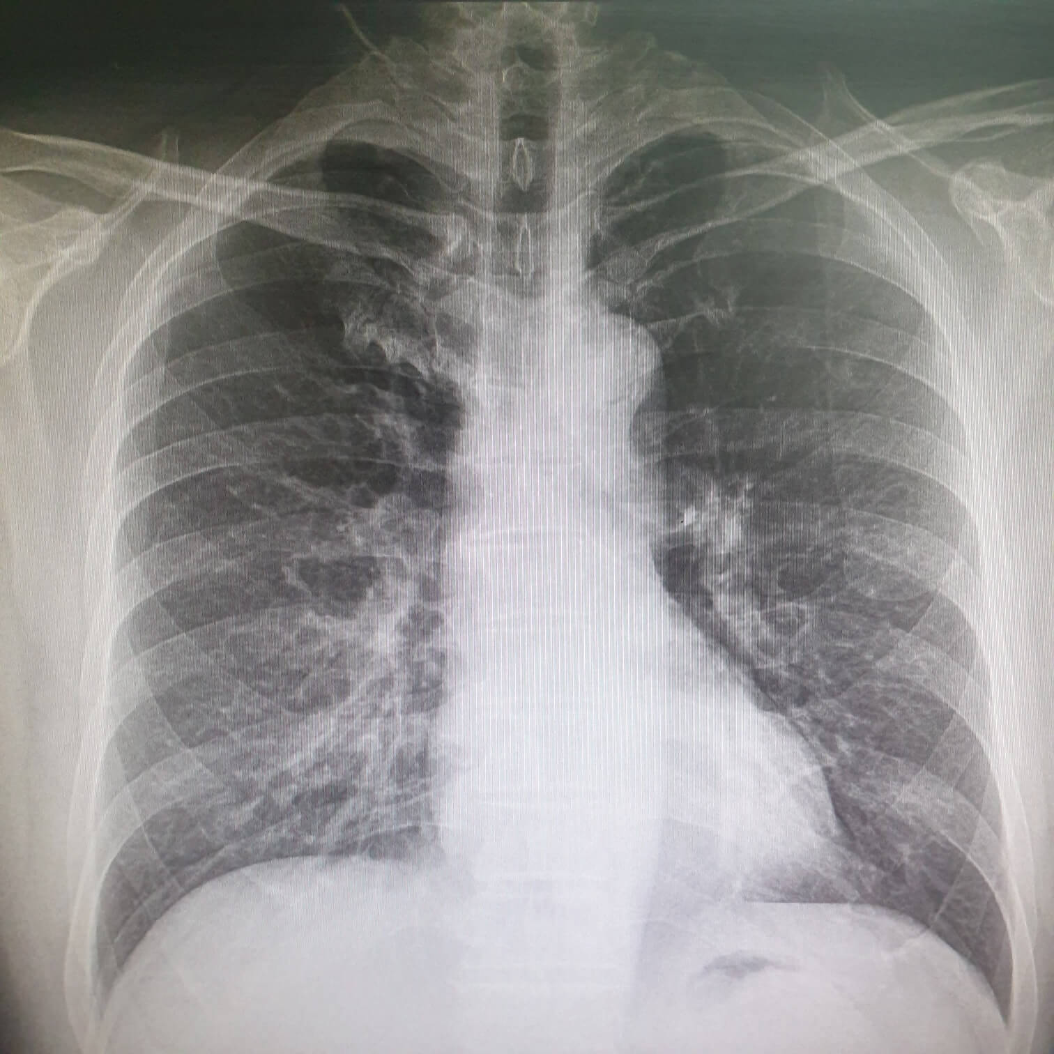
수술 전 흉부 X-ray 검사
흉부 X-ray 검사는 가장 기본적인 폐 관련 검사입니다.
특히 인공호흡기를 사용하는 전신마취의 경우 수술 후 폐렴등의 호흡기 합병증의 발생 가능성이 높으므로 폐질환 여부를 판단하기 위하여 시행합니다.
수술 전 환자 폐의 상태가 전신마취가 적합한지 부적합한지를 평가하는 방법이며 검사상 폐기능의 저하가 확인되면 폐기능 검사를 통해 폐의 기능 상태를 정밀검사하게 됩니다.



수술전 심전도와 심장초음파 검사
심전도 검사는 가장 기본적인 심장검사입니다.
심장을 박동하게 하는 전기신호의 간격과 강도를 기록하는 검사로 심박동과 전기전도 상태를 파악하기 위해 시행합니다.
비정상적인 간격과 강도등을 통해 심장질환을 조기에 알아낼 수 있습니다. 심장병과 부정맥등 심질환으로 인한 마취사고의 위험성을 최소화하고 이후 사용 할 수액등에 대한 안정성 확인을 위해 시행합니다.
심전도상에 부정맥이나 심근경색증등 다른 이상이 의심된다면 혈액검사와 더불어 심장초음파 검사를 진행합니다.
심장초음파검사는 초음파를 이용하여 심장내부의 심방과 심실의 크기와 모양, 판막의 움직임, 대동맥의 크기 등 심장의 구조를 확인하여 각종 심장 질환을 진단하고 기능을 평가하기 위한 검사입니다.
고령화가 심해질수록 고혈압이나 당뇨를 가진 환자들이 많아짐에 따라 좀 더 깊이 있는 심장평가를 위해 심전도 외에 심장초음파 검사를 병행하는 병원이 늘어나고 있는 추세입니다.



수술 전 소변검사
소변검사는 소변의 부피와 색상 냄새, 탁도, 비중 등을 간단하게 검사하여 우리 몸의 질환여부를 확인하기 위해 시행합니다. 신기능 이상이나 당뇨 같은 내분비질환, 요로계 감염등을 조기에 확인하여 필요한 정밀 검사를 시행하고 교정하기 위함입니다.
수술 전 검사를 통하여 마취와 수술을 안전하게 시행하고 이후 회복과정에서도 수액과 항생제등 약물 사용에 있어 안전을 기할 수 있습니다.