티스토리 뷰
오늘은 골밀도의 감소로 심각한 골절과 통증을 일으키는 골다공증의 원인과 치료에 대하여 알아보도록 하겠습니다.

골다공증이란
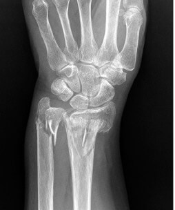
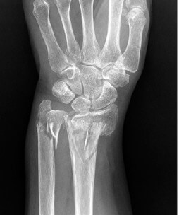
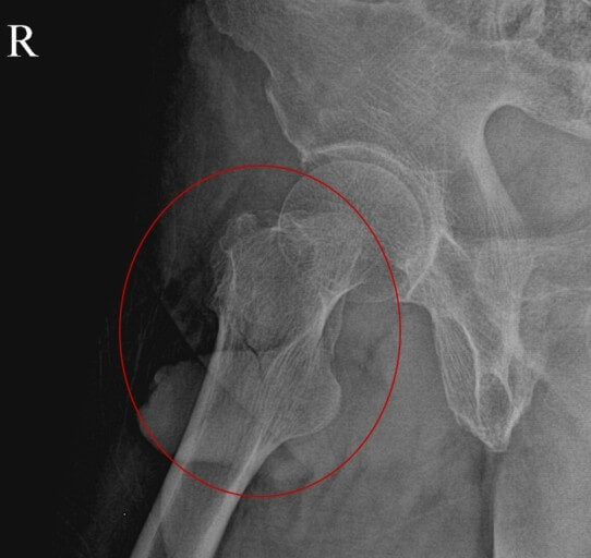
골다공증이란 뼈에서 무기질이 빠져나가 뼈의 밀도가 감소하고 이로 인해 이차적으로 병적 골절을 일으킬 수 있는 대사성 질환으로 주로 흉추(등뼈)와 요추(허리뼈)의 압박골절, 대퇴골 경부와 전자 간 부위 골절, 요골 하단(손목 부위) 골절등을 일으키게 됩니다.
특히 노인의 경우 골다공증으로 인한 골절이 주요 사망원인이 되기도 하고, 통증과 후유증등으로 고통을 받을 수도 있습니다.
2021년 건강보험심사평가원에서는 골다공증 환자의 95% 정도가 여성이며 이들 여성은 폐경기가 시작되는 50대부터 증가하여 60세~69세에서 가장 많이 발생한다고 발표하였습니다.
우리의 뼈는 일생동안 조골세포에서 새로운 뼈를 만들고 오래된 뼈는 파골세포에서 흡수하는 골파괴 과정을 거치면서 지속적으로 골재형성 과정을 거치게 됩니다. 그러나 40세 정도에 접어 들면서 부터 골형성 속도보다 골파괴 속도가 빨라지면서 골밀도가 감소하게 됩니다.



골다공증의 원인
폐경기에 접어든 갱년기 여성의 경우, 혈청 에스트로겐이 감소함에 따라 골밀도가 급속히 줄어듭니다. 특히 65세 이상 여성 노인의 경우 50% 이상에서 골다공증이 발견 됩니다.
이에 비해 남성은 갑작스러운 호르몬 변화가 없고 뼈의 양이 절정에 도달하는 시기가 여성보다 길어서 골다공증 발생률이 여성보다는 낮습니다.
노인성 골다공증의 경우 65세 이상에서 나타나며, 여성의 경우가 남성보다 2배 정도 더 많습니다. 골다공증의 주요 원인은 여성의 경우 에스트로겐 농도가 감소하는 폐경기가 가장 큰 요인으로 작용합니다.
부갑상선 기능항진증, 장기간에 걸친 스테로이드 약물의 사용, 척추 손상이나 퇴행성 관절염등의 질환등으로 인해 장기간 누워서 지내거나 활동을 하지 않는 경우도 골다공증의 원인이 됩니다.
이외에도 당뇨, 갑상선 질환, 염증성 장질환, 류마티스 관절염, 만성 신부전 등의 특정 질환으로 인해 발병하기도 합니다.
그 외 칼슘과 비타민 D의 부족, 인의 과도한 섭취등과 같은 영양불균형, 질병이나 약물에 의한 흡수 장애, 부족한 햇볕 노출, 흡연과 과다한 카페인 섭취등도 원인이 될 수 있습니다.
골다공증 증상
대개의 경우 골다공증은 증상 없이 오랜 기간 진행되며, 특히나 65세 이상 여성의 경우에는 50% 정도에서 무증상 골다공증이 있다고 봅니다.
초기 골다공증 증상으로는 허약감, 불안정한 걸음걸이, 경직, 식욕부진이 있으며 등이나 허리에서 통증을 느끼기도 합니다.
걸음걸이가 불안정 할 경우에는 단순히 골관절염이나 류마티스 관절염, 퇴행성 관절염등으로 오인하지 않도록 주의해야 합니다.
또한 골다공증이 진행되면서 척추의 기형이 생기고 일어서거나 구부릴 때 척추에 통증이 생겨 움직임이 감소되기도 합니다.
그리고 척추가 뒤로 굽어지면서 복근이 늘어나고 복부가 앞으로 돌출되며, 이러한 체위변화로 인해 키가 5~7Cm 정도 작아지고 흉곽의 크기가 감소하여 폐의 기능이 저하되며, 많은 경우에서 피로감을 호소합니다.
골다공증 진단을 위해, 혈액을 통한 기본 검사인 칼슘과 인, 비타민 D , 갑상선 기능검사, 단백질등의 수치를 검사합니다. 단순 X-ray 촬영과 골밀도(BMD) 검사를 통해 골의 소실 정도를 알 수 있으며 필요시 MRI와 초음파 검사를 하기도 합니다.
골밀도가 -1에서 -2.5이면 골량 감소, -2.5 이하이면 골다공증으로 진단하며, 골밀도가 -2.5 이하면서 신체의 한 부위 이상에 병리적 골절이 있으면 중증 골다공증으로 분류합니다.
* 골밀도 검사는 여성의 경우 65세 이상, 남성의 경우 70세 이상에서 급여적용(의료보험 적용)을 받습니다. 종합병원의 경우 비급여로 하면 5만 원 정도이고 급여 적용 시 1만 원의 비용이 발생합니다.
골다공증의 치료
골다공증을 예방하고 치료하기 위해 사용하는 약물은 에스트로겐, 칼슘 보충제, 비타민 D, 비스포스포네이트, 에스트로겐 수용체 조절제, 칼시토닌 및 복합제 등이 있습니다.
1. 비스포스포네이트 약물 : 골다공증 치료에서 가장 많이 사용되는 치료제 중 하나입니다. 뼈의 미네랄 밀도를 높이고 뼈 손실을 감소시키는 효과가 있습니다. 포사맥스정, 악토넬정, 본비바정, 다이놀정, 타노린주사 등이 대표적인 비스포스포네이트 약물입니다.
2. 화석화 골수 증강제 : 골다공증에 대한 효과적인 치료법 중 하나로 포사맥스정이나 악토넬정과 같은 비스포스포네이트 약물을 포함합니다. 이 약물은 뼈의 손실을 줄이고 미네랄 밀도를 높이는데 도움을 줍니다.
3. 호르몬 대체 치료 : 여성의 경우, 특히 폐경 이후, 호르몬 대체 치료가 고려될 수 있습니다. 여성 호르몬인 에스트로겐은 뼈의 밀도를 유지하고 손상을 예방하는 데 도움을 줄 수 있습니다.
4. 칼슘과 비타민 D 보충제 : 적절한 양의 칼슘과 비타민 D는 뼈 건강을 지키는 데 중요합니다. 칼슘과 비타민 D 보충제는 골다공증의 예방과 치료에 도움을 줄 수 있습니다.
5. 테리파라타이드 주사 (Teriparatide Injection) : 골다공증의 치료를 위한 비교적 새로운 치료법 중 하나입니다. 이 주사는 뼈 형성을 촉진하여 뼈 손실을 예방하는 효과가 있으며 최근 각광받고 있는 치료제입니다.
*골밀도 검사결과에서 여러 부위의 골밀도를 취합하여 T- Score가 마이너스 2.5 보다 낮은 경우 치료제에 대하여 6개월 동안 급여 적용을 받을 수 있습니다. 다만 해마다 골밀도 검사를 해야 하며 결과치에 따라 급여적용 여부가 결정됩니다.
Teriparatide주사의 급여 적용여부는 더 까다로울 수 있으므로 담당의사와 자세히 상담하셔야 합니다.



건강한 뼈의 비결, 골다공증의 예방
다음으로 건강한 뼈를 유지하고 골절을 예방하기 위한 방법에 대해 알아보겠습니다.
1. 적절한 칼슘 섭취 : 칼슘은 뼈 건강에 핵심적인 영양소입니다. 식사를 통해 충분한 양의 칼슘을 섭취하고, 칼슘 풍부한 음식이나 칼슘 보충제를 활용하여 뼈 손실을 예방합니다. 음식으로부터 칼슘을 섭취할 때는 비타민 D 섭취도 필수입니다.
2. 충분한 비타민 D 보충 : 비타민 D는 칼슘의 흡수를 돕고 뼈 건강을 지원하는 역할을 합니다. 자연에서의 햇볕에 노출이 부족한 경우, 비타민 D 보충제를 활용하여 몸속에 충분한 양을 공급받도록 해야 합니다.
3. 규칙적인 운동은 뼈의 밀도를 높이고 강화하는 데 도움을 줍니다. 중력을 받는 활동인 걷기, 조깅, 춤추기, 체력 단련 운동 등을 포함하여 다양한 형태의 운동을 통해 뼈의 건강을 지키도록 합니다.
4. 흡연과 과도한 알코올 섭취는 뼈 손실을 촉진할 수 있으므로 피하도록 합니다. 또한, 과도한 카페인 섭취 역시 칼슘 배출을 촉진할 수 있으니 적절한 섭취량을 권장합니다.
5. 정기적인 건강 검진 : 정기적 검진을 통해 골다공증을 예방하고 초기에 발견하여 치료하도록 합니다.
6. 낙상은 골다공증으로 인해 뼈가 약해져 있는 고령자에게 발생할 수 있는 위험한 상황입니다. 집 안이나 외부에서 안전을 고려하여 낙상 예방에 신경 쓰도록 합니다.
<함께보면 좋은 글 >
골밀도 검사: 인정기준(급여기준), BMD
나이가 들면서 점점 약해지는 우리몸의 기둥인 뼈. 골다공증이 얼마나 진행된 상태인지를 알아보는 가장 기본적이고 중요한 검사, 골밀도 검사의 의료보험 인정기준에 대하여 알아보겠습니다.
snowballsite.com
척추 압박골절의 원인, 치료 방법과 보조기
우리 몸의 가장 중요한 기둥인 척추는 나이가 들어감에 따라 골다공증과 그에 따른 골절, 척추관협착증 등으로 점점 약해지고 통증으로 우리를 괴롭힙니다. 여러 척추 관련 질환과 문제들 중에
snowballsite.com